Blog
Categoria Saúde Bucal
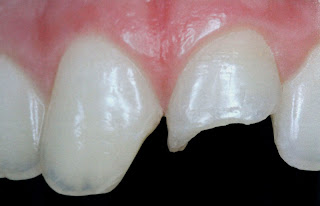
Meu dente quebrou! E agora?
Não tem coisa mais desagradável e constrangedora do que ficar com um dente quebrado não é mesmo? Imagine se é naquela semana que você tem um compromisso importante! O que fazer? De acordo com o Dr. Joel dos Santos, o melhor a fazer é guardar o pedaço do dente fraturado “É indicado guardar o fragmento em leite, água ou soro fisiológico e procurar imediatamente o seu dentista” explica.
E fique tranqüilo, porque é possível sim recuperar o dente quebrado, com excelente qualidade estética. E mesmo se você perder o pedaço do dente que quebrou, ainda há solução!
Veja mais na matéria do Portal Terra, com entrevista dos Dr. Joel aqui
Veja mais na matéria do Portal Terra, com entrevista dos Dr. Joel aqui
tratamento relacionado
Matérias Relacionadas
21 MAR
08 ABR
16 OUT
Os cuidados com os dentes durante a Páscoa
+ leia mais
Agora na Páscoa as tentações estão por todas as partes, basta uma...
Cuidado com as coisas que podem desencadear tumores na sua boca
+ leia mais
No Dia Mundial de Combate ao Câncer, alertamos para os cuidados para evitar os problemas...
Clínica Dr. Joel presente na ADA 2017 - American Dental Meeting
+ leia mais
O Dr. Joel e a Dra. Cátia estarão presentes no Encontro Dental da América,...
