Diastema: Um problema mais comum do que parece!
12 NOV
Categoria Saúde Bucal

Diastema: Um problema mais comum do que parece!

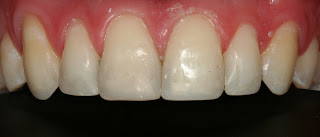
Madonna, Kate Moss, Ronaldinho Gaúcho. O que eles têm em comum? Sabe aqueles dentes separados que acabaram virando marca registrada? Pois é! O nome deste problema bucal  é diastema.

O problema é mais comum nos dois dentes frontais da arcada superior, mas pode ser encontrado em outros locais da boca. Ele pode ser causado por uma diferença de tamanho dos dentes ou uma anormalidade do freio labial. Geralmente, o diastema já é resolvido com a queda dos dentes de leite na infância, mas caso o problema persista, há algumas soluções, como a utilização de aparelhos ortodônticos, restaurações ou facetas. O ideal é consultar seu dentista para saber qual é a melhor solução para você.

 

Matérias Relacionadas
Dismorfia Dentária - A busca incessantemente por tratamentos estéticos e soluções milagrosas
07 ABR
Dismorfia Dentária - A busca incessantemente por tratamentos estéticos e soluções milagrosas

Você certamente já ouviu falar que tudo o que é em exagero faz mal....

+ leia mais
Vinho, o inimigo dos dentes
14 MAR
Vinho, o inimigo dos dentes

Os tintos mancham, mas os brancos, por serem mais ácidos, podem ter uma ação ainda mais...

+ leia mais
Os dentes do seu bebê também merecem atenção
13 OUT
Os dentes do seu bebê também merecem atenção

A maioria das mães tem receio em usar pasta de dente com flúor nos seus...

+ leia mais